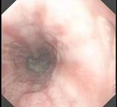
女性,45岁,间歇性发作咽下困难3个月,伴反酸烧心,可因情绪波动诱发。食管造影未见异常,内镜如图,并发症有 ( )A、Barrett食管B、食...

作者: rantiku 人气: - 评论: 0
问题 女性,45岁,间歇性发作咽下困难3个月,伴反酸烧心,可因情绪波动诱发。食管造影未见异常,内镜如图,并发症有 ( )
选项 A、Barrett食管 B、食管癌 C、食管狭窄 D、食管穿孔 E、出血
答案 ACE
解析

猜你喜欢

发表评论
更多 网友评论0 条评论)
暂无评论
错误啦!

错误信息

  • 消息: [程序异常] : MISCONF Redis is configured to save RDB snapshots, but it's currently unable to persist to disk. Commands that may modify the data set are disabled, because this instance is configured to report errors during writes if RDB snapshotting fails (stop-writes-on-bgsave-error option). Please check the Redis logs for details about the RDB error.
  • 文件: /twcms/kongphp/cache/cache_redis.class.php
  • 位置: 第 85 行
    <?php echo 'KongPHP, Road to Jane.'; ?>