患者女,66岁,上腹部疼痛、呕吐,呕吐物为胃内容物,发热、呼吸困难10 h急诊入院,发病前曾进食油腻食物。入院查 T 38.6 ℃,P 130次/min...

作者: rantiku 人气: - 评论: 0
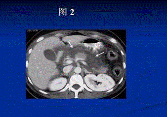
问题  患者女,66岁,上腹部疼痛、呕吐,呕吐物为胃内容物,发热、呼吸困难10 h急诊入院,发病前曾进食油腻食物。入院查 T 38.6 ℃,P 130次/min,R 32次/min, Bp 12/7 kPa(90.0/52.5 mmHg)。 此时诊断考虑的疾病可能是(提示 血WBC 24×10/L,N 0.95,Hb 120 g/L,PLT 90×10/L,血淀粉酶650 U(Somogyi法),急诊CT检查如图1和图2所示,腹部X线平片见肠腔大量积气,左上腹膈下见一单个较大液气平,无肠形,无膈下游离气体。)
选项 A、急性化脓性胆管炎 B、急性胰腺炎 C、胆道蛔虫症 D、胆总管结石 E、消化性溃疡 F、急性出血坏死性小肠炎 G、机械性肠梗阻 H、急性胃肠穿孔
答案 ABD
解析 ABD

猜你喜欢

发表评论
更多 网友评论0 条评论)
暂无评论

访问排行

Copyright © 2012-2014 恰考网 Inc. 保留所有权利。 Powered by tikuer.com

页面耗时0.0326秒, 内存占用1.03 MB, Cache:redis,访问数据库13次