图-1显微镜下嗜银染色,可见膜性肾小球肾炎时黑色的基底膜物质突出于毛细血管袢周围,呈特征性的“火焰”状(钉突形成), 图-2GBM弥漫性增厚,上皮下多数嗜...

作者: rantiku 人气: - 评论: 0
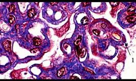
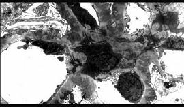
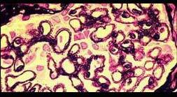
问题 图-1显微镜下嗜银染色,可见膜性肾小球肾炎时黑色的基底膜物质突出于毛细血管袢周围,呈特征性的“火焰”状(钉突形成), 图-2GBM弥漫性增厚,上皮下多数嗜复红蛋白沉积(1)(Masson), 图-3上皮下多数电子致密物沉积(D),上皮细胞足突广泛融合,GBM增厚(电镜),符合该诊断的病理为 ( )
选项 A、Ⅳ期膜性肾病 B、Ⅴ期膜性肾病 C、Ⅰ期膜性肾病 D、Ⅲ期膜性肾病 E、Ⅱ期膜性肾小球肾炎
答案 E
解析

猜你喜欢

发表评论
更多 网友评论0 条评论)
暂无评论
错误啦!

错误信息

  • 消息: [程序异常] : MISCONF Redis is configured to save RDB snapshots, but it's currently unable to persist to disk. Commands that may modify the data set are disabled, because this instance is configured to report errors during writes if RDB snapshotting fails (stop-writes-on-bgsave-error option). Please check the Redis logs for details about the RDB error.
  • 文件: /twcms/kongphp/cache/cache_redis.class.php
  • 位置: 第 85 行
    <?php echo 'KongPHP, Road to Jane.'; ?>