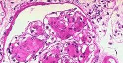
一患者肾病理(PAS染色)示:系膜基质结节状增多,形成Kimme1stie1-Wi1son结节,GBM增厚, 右下的小动脉管壁显著增厚,其诊断为 ( ) ...

作者: rantiku 人气: - 评论: 0
问题 一患者肾病理(PAS染色)示:系膜基质结节状增多,形成Kimme1stie1-Wi1son结节,GBM增厚, 右下的小动脉管壁显著增厚,其诊断为 ( )
选项 A、硬化性肾炎 B、新月体性肾炎 C、局灶节段性肾小球硬化 D、局灶性肾炎 E、糖尿病性结节性肾小球硬化
答案 E
解析

猜你喜欢

发表评论
更多 网友评论0 条评论)
暂无评论

访问排行

Copyright © 2012-2014 恰考网 Inc. 保留所有权利。 Powered by tikuer.com

页面耗时0.0384秒, 内存占用1.03 MB, Cache:redis,访问数据库18次