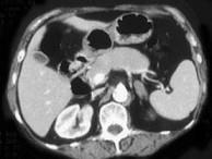
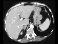
女,42岁,夜尿增多伴高血压,实验室检查:血和尿醛固酮水平增加,请结合图像,选择最佳答案 ( )A、双侧肾上腺转移瘤B、双侧肾上腺淋巴瘤C...

作者: rantiku 人气: - 评论: 0
问题 女,42岁,夜尿增多伴高血压,实验室检查:血和尿醛固酮水平增加,请结合图像,选择最佳答案 ( )
选项 A、双侧肾上腺转移瘤 B、双侧肾上腺淋巴瘤 C、双侧肾上腺腺瘤 D、双侧肾上腺未见异常 E、双侧肾上腺增生
答案 E
解析

猜你喜欢

发表评论
更多 网友评论0 条评论)
暂无评论

访问排行

Copyright © 2012-2014 恰考网 Inc. 保留所有权利。 Powered by tikuer.com

页面耗时0.0342秒, 内存占用1.03 MB, Cache:redis,访问数据库19次