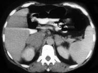
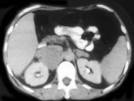
男,65岁,腋下触及肿大包块,全身浅表淋巴结肿大,请结合所提供图像,选择最佳答案 ( )A、双侧肾上腺转移瘤B、肾上腺癌C、双侧肾上腺增生...

作者: rantiku 人气: - 评论: 0
问题 男,65岁,腋下触及肿大包块,全身浅表淋巴结肿大,请结合所提供图像,选择最佳答案 ( )
选项 A、双侧肾上腺转移瘤 B、肾上腺癌 C、双侧肾上腺增生 D、双侧肾上腺淋巴瘤 E、双侧肾上腺腺瘤
答案 D
解析

猜你喜欢

发表评论
更多 网友评论0 条评论)
暂无评论

访问排行

Copyright © 2012-2014 恰考网 Inc. 保留所有权利。 Powered by tikuer.com

页面耗时0.0353秒, 内存占用1.03 MB, Cache:redis,访问数据库20次