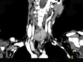
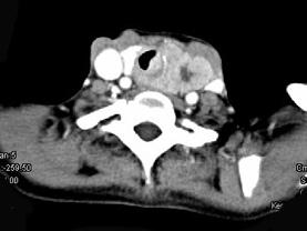
女,50岁,左下颈部扪及一质硬、表面高低不平的包块,约半年,肿块逐渐增大,现感吞咽困难。如图所示CT诊断为 ( )A、甲状腺原发淋巴瘤...

作者: rantiku 人气: - 评论: 0
问题 女,50岁,左下颈部扪及一质硬、表面高低不平的包块,约半年,肿块逐渐增大,现感吞咽困难。如图所示CT诊断为 ( )
选项 A、甲状腺原发淋巴瘤 B、颈部神经鞘瘤 C、食管癌 D、喉癌 E、甲状腺癌
答案 E
解析

猜你喜欢

发表评论
更多 网友评论0 条评论)
暂无评论

访问排行

Copyright © 2012-2014 恰考网 Inc. 保留所有权利。 Powered by tikuer.com

页面耗时0.0306秒, 内存占用1.03 MB, Cache:redis,访问数据库17次