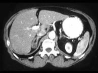
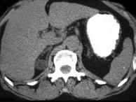
女,35岁,无意中发现血压高,实验室检查:血和尿中醛固酮水平增高,请结合所提供图像,作出诊断 ( )A、右肾上腺转移瘤B、右肾上腺囊肿C、...

作者: rantiku 人气: - 评论: 0
问题 女,35岁,无意中发现血压高,实验室检查:血和尿中醛固酮水平增高,请结合所提供图像,作出诊断 ( )
选项 A、右肾上腺转移瘤 B、右肾上腺囊肿 C、右肾上腺Cushing腺瘤 D、右肾上腺皮质腺瘤 E、右肾上腺增生
答案 D
解析

猜你喜欢

发表评论
更多 网友评论0 条评论)
暂无评论

访问排行

Copyright © 2012-2014 恰考网 Inc. 保留所有权利。 Powered by tikuer.com

页面耗时0.0348秒, 内存占用1.03 MB, Cache:redis,访问数据库17次