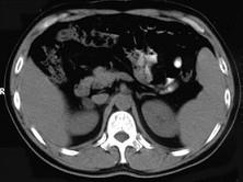
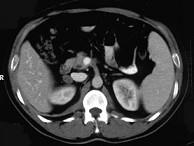
女,23岁,满月脸、向心性肥胖,CT扫描如图所示,应诊断为 ( )A、右侧肾上腺嗜铬细胞瘤B、右侧肾上腺转移瘤C、右侧肾上腺腺瘤D、右...

作者: rantiku 人气: - 评论: 0
问题 女,23岁,满月脸、向心性肥胖,CT扫描如图所示,应诊断为 ( )
选项 A、右侧肾上腺嗜铬细胞瘤 B、右侧肾上腺转移瘤 C、右侧肾上腺腺瘤 D、右侧肾上腺腺癌 E、右侧肾上腺增生
答案 C
解析

猜你喜欢

发表评论
更多 网友评论0 条评论)
暂无评论

访问排行

Copyright © 2012-2014 恰考网 Inc. 保留所有权利。 Powered by tikuer.com

页面耗时0.0800秒, 内存占用1.03 MB, Cache:redis,访问数据库19次