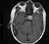
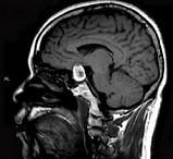
男性,55岁,头痛一年余,两个小时前突然出现剧烈头痛,MRI检查如图所示,最可能的诊断为 ( )A、垂体瘤并卒中B、动脉瘤C、脑膜...

作者: rantiku 人气: - 评论: 0
问题 男性,55岁,头痛一年余,两个小时前突然出现剧烈头痛,MRI检查如图所示,最可能的诊断为 ( )
选项 A、垂体瘤并卒中 B、动脉瘤 C、脑膜瘤 D、颅咽管瘤 E、垂体瘤
答案 A
解析

猜你喜欢

发表评论
更多 网友评论0 条评论)
暂无评论
错误啦!

错误信息

  • 消息: [程序异常] : MISCONF Redis is configured to save RDB snapshots, but it's currently unable to persist to disk. Commands that may modify the data set are disabled, because this instance is configured to report errors during writes if RDB snapshotting fails (stop-writes-on-bgsave-error option). Please check the Redis logs for details about the RDB error.
  • 文件: /twcms/kongphp/cache/cache_redis.class.php
  • 位置: 第 85 行
    <?php echo 'KongPHP, Road to Jane.'; ?>