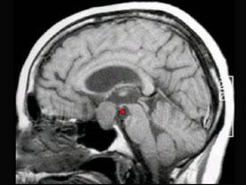
男,37岁,视力模糊,部分视野缺失,伴有头痛、恶心数月,MRI检查如图,最可能的诊断为 ( )A、垂体瘤B、表皮样囊肿C、脑膜瘤D、蛛...

作者: rantiku 人气: - 评论: 0
问题 男,37岁,视力模糊,部分视野缺失,伴有头痛、恶心数月,MRI检查如图,最可能的诊断为 ( )
选项 A、垂体瘤 B、表皮样囊肿 C、脑膜瘤 D、蛛网膜囊肿 E、颅咽管瘤
答案 A
解析

猜你喜欢

发表评论
更多 网友评论0 条评论)
暂无评论

访问排行

Copyright © 2012-2014 恰考网 Inc. 保留所有权利。 Powered by tikuer.com

页面耗时0.0403秒, 内存占用1.03 MB, Cache:redis,访问数据库14次