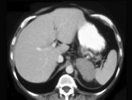
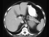
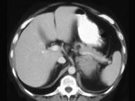
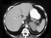
女,47岁,满月脸、向心性肥胖伴高血压1个月,请结合所提供图像,作出诊断 ( )A、左肾上腺嗜铬细胞瘤B、左肾上腺增生C、左肾上腺...

作者: rantiku 人气: - 评论: 0
问题 女,47岁,满月脸、向心性肥胖伴高血压1个月,请结合所提供图像,作出诊断 ( )
选项 A、左肾上腺嗜铬细胞瘤 B、左肾上腺增生 C、左肾上腺腺癌 D、左肾上腺转移瘤 E、左肾上腺腺瘤
答案 C
解析

猜你喜欢

发表评论
更多 网友评论0 条评论)
暂无评论

访问排行

Copyright © 2012-2014 恰考网 Inc. 保留所有权利。 Powered by tikuer.com

页面耗时0.0524秒, 内存占用1.03 MB, Cache:redis,访问数据库19次