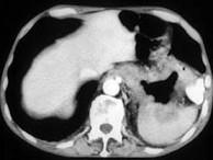
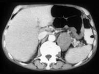
男,57岁,腹部隐痛不适伴低热2月余,腋下可触及数个肿大的淋巴结,请结合图像,作出诊断 ( )A、左侧肾上腺腺瘤B、左侧肾上腺转移瘤C、左...

作者: rantiku 人气: - 评论: 0
问题 男,57岁,腹部隐痛不适伴低热2月余,腋下可触及数个肿大的淋巴结,请结合图像,作出诊断 ( )
选项 A、左侧肾上腺腺瘤 B、左侧肾上腺转移瘤 C、左侧恶性嗜铬细胞瘤侵及胃脾 D、左侧肾上腺淋巴瘤且胃脾受累 E、左侧肾上腺癌并胃脾转移
答案 D
解析

猜你喜欢

发表评论
更多 网友评论0 条评论)
暂无评论

访问排行

Copyright © 2012-2014 恰考网 Inc. 保留所有权利。 Powered by tikuer.com

页面耗时0.0337秒, 内存占用1.03 MB, Cache:redis,访问数据库18次