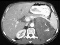
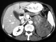
女,43岁,满月脸、皮肤紫纹、月经不规则3月余,请结合所提供图像,作出诊断 ( )A、左肾上腺腺癌B、左肾上腺增生C、左肾上腺嗜铬细胞瘤 ...

作者: rantiku 人气: - 评论: 0
问题 女,43岁,满月脸、皮肤紫纹、月经不规则3月余,请结合所提供图像,作出诊断 ( )
选项 A、左肾上腺腺癌 B、左肾上腺增生 C、左肾上腺嗜铬细胞瘤 D、左肾上腺转移瘤 E、左肾上腺腺瘤
答案 A
解析

猜你喜欢

发表评论
更多 网友评论0 条评论)
暂无评论

访问排行

Copyright © 2012-2014 恰考网 Inc. 保留所有权利。 Powered by tikuer.com

页面耗时0.0529秒, 内存占用1.03 MB, Cache:redis,访问数据库16次