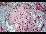
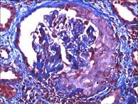
糖尿病肾病特异性的病理改变是 ( )A、膜性肾病B、弥漫性肾小球硬化性病变C、渗出性病变D、结节性肾小球硬化性病变E、肾动脉硬化

作者: rantiku 人气: - 评论: 0
问题 糖尿病肾病特异性的病理改变是 ( )
选项 A、膜性肾病 B、弥漫性肾小球硬化性病变 C、渗出性病变 D、结节性肾小球硬化性病变 E、肾动脉硬化
答案 D
解析

猜你喜欢

发表评论
更多 网友评论0 条评论)
暂无评论
错误啦!

错误信息

  • 消息: [程序异常] : MISCONF Redis is configured to save RDB snapshots, but it's currently unable to persist to disk. Commands that may modify the data set are disabled, because this instance is configured to report errors during writes if RDB snapshotting fails (stop-writes-on-bgsave-error option). Please check the Redis logs for details about the RDB error.
  • 文件: /twcms/kongphp/cache/cache_redis.class.php
  • 位置: 第 85 行
    <?php echo 'KongPHP, Road to Jane.'; ?>