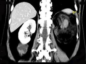
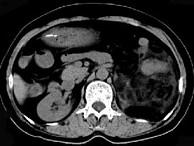
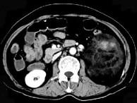
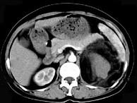
女,64岁,左侧腰部胀痛,行CT扫描,下列说法正确的是 ( )A、考虑为左侧肾上腺来源的髓样脂肪瘤B、考虑为腹膜后来源的脂肪肉瘤C...

作者: rantiku 人气: - 评论: 0
问题 女,64岁,左侧腰部胀痛,行CT扫描,下列说法正确的是 ( )
选项 A、考虑为左侧肾上腺来源的髓样脂肪瘤 B、考虑为腹膜后来源的脂肪肉瘤 C、该病灶密度不均匀,其内可见脂肪密度影,且呈不均匀强化 D、考虑为左肾来源的血管平滑肌脂肪瘤 E、左肾区可见一巨大的占位性病灶,境界较清楚,胰腺尾部受压向前推移
答案 CDE
解析

猜你喜欢

发表评论
更多 网友评论0 条评论)
暂无评论

访问排行

Copyright © 2012-2014 恰考网 Inc. 保留所有权利。 Powered by tikuer.com

页面耗时0.0462秒, 内存占用1.03 MB, Cache:redis,访问数据库19次