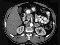
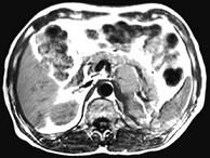
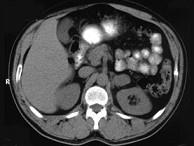
女,34岁,无意中发现血压升高4个月就诊,行CT检查,如图所示,下列说法正确的是 ( )A、考虑为左肾上腺嗜铬细胞瘤B、考虑为左肾上腺...

作者: rantiku 人气: - 评论: 0
问题 女,34岁,无意中发现血压升高4个月就诊,行CT检查,如图所示,下列说法正确的是 ( )
选项 A、考虑为左肾上腺嗜铬细胞瘤 B、考虑为左肾上腺转移瘤 C、增强扫描,该病灶周边明显强化,中心处强化不明显 D、考虑为左肾上腺腺瘤 E、CT示左侧肾上腺区可见一等密度块影,边界清楚
答案 ACE
解析

猜你喜欢

发表评论
更多 网友评论0 条评论)
暂无评论

访问排行

Copyright © 2012-2014 恰考网 Inc. 保留所有权利。 Powered by tikuer.com

页面耗时0.0329秒, 内存占用1.03 MB, Cache:redis,访问数据库19次