男性,40岁,因感冒半月后出现性情改变如欣快、暴躁和猜疑,以及EEG弥漫性慢波,以脑炎诊断住院20天,经治疗病情明显好转,准备3日后出院。但患者病情反复,...

作者: rantiku 人气: - 评论: 0
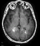
问题 男性,40岁,因感冒半月后出现性情改变如欣快、暴躁和猜疑,以及EEG弥漫性慢波,以脑炎诊断住院20天,经治疗病情明显好转,准备3日后出院。但患者病情反复,MRI如图,应考虑 ( )
选项 A、脑干肿瘤 B、脊髓压迫症 C、重症肌无力 D、多发性硬化 E、球后视神经炎
答案 D
解析

猜你喜欢

发表评论
更多 网友评论0 条评论)
暂无评论

访问排行

Copyright © 2012-2014 恰考网 Inc. 保留所有权利。 Powered by tikuer.com

页面耗时0.0285秒, 内存占用1.03 MB, Cache:redis,访问数据库13次