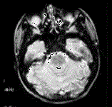
根据MRI表现,那种疾病可能 ( ) A、结核性脑膜炎B、脑端螺旋体病C、隐球菌性脑膜炎D、单纯疱疹病毒性脑炎E、脑囊虫病

作者: rantiku 人气: - 评论: 0
问题 根据MRI表现,那种疾病可能 ( )
选项 A、结核性脑膜炎 B、脑端螺旋体病 C、隐球菌性脑膜炎 D、单纯疱疹病毒性脑炎 E、脑囊虫病
答案 E
解析

猜你喜欢

发表评论
更多 网友评论0 条评论)
暂无评论

访问排行

Copyright © 2012-2014 恰考网 Inc. 保留所有权利。 Powered by tikuer.com

页面耗时0.0317秒, 内存占用1.03 MB, Cache:redis,访问数据库18次