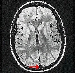
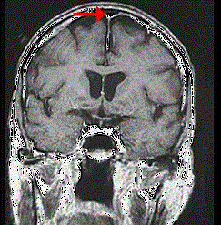
如图箭头所示为大脑哪个部位 ( ) A、窦汇B、横窦C、下失状窦D、直窦E、上矢状窦

作者: rantiku 人气: - 评论: 0
问题 如图箭头所示为大脑哪个部位 ( )
选项 A、窦汇 B、横窦 C、下失状窦 D、直窦 E、上矢状窦
答案 E
解析

猜你喜欢

发表评论
更多 网友评论0 条评论)
暂无评论

访问排行

Copyright © 2012-2014 恰考网 Inc. 保留所有权利。 Powered by tikuer.com

页面耗时0.0470秒, 内存占用1.03 MB, Cache:redis,访问数据库13次