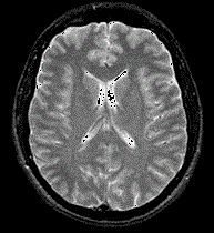
患者,男,30岁,头痛、呕吐三周,低热,脑膜刺激征(+),MRI如图,最可能的诊断是 ( )A、HIV病毒感染脑损害B、巨细胞病毒感染脑损害C...

作者: rantiku 人气: - 评论: 0
问题 患者,男,30岁,头痛、呕吐三周,低热,脑膜刺激征(+),MRI如图,最可能的诊断是 ( )
选项 A、HIV病毒感染脑损害 B、巨细胞病毒感染脑损害 C、真菌性脑膜炎 D、朊病毒感染所致脑损害 E、结核性脑膜炎
答案 A
解析

猜你喜欢

发表评论
更多 网友评论0 条评论)
暂无评论

访问排行

Copyright © 2012-2014 恰考网 Inc. 保留所有权利。 Powered by tikuer.com

页面耗时0.0338秒, 内存占用1.03 MB, Cache:redis,访问数据库14次