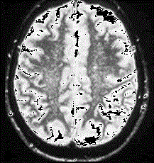
根据MRI表现考虑为何种疾病是 ( )A、亚急性硬化性全脑炎B、进行性风疹全脑炎C、皮质一纹状体-脊髓变性D、进行性多灶性白质脑病E、...

作者: rantiku 人气: - 评论: 0
问题 根据MRI表现考虑为何种疾病是 ( )
选项 A、亚急性硬化性全脑炎 B、进行性风疹全脑炎 C、皮质一纹状体-脊髓变性 D、进行性多灶性白质脑病 E、羊瘙痒病
答案 C
解析

猜你喜欢

发表评论
更多 网友评论0 条评论)
暂无评论

访问排行

Copyright © 2012-2014 恰考网 Inc. 保留所有权利。 Powered by tikuer.com

页面耗时0.0442秒, 内存占用1.03 MB, Cache:redis,访问数据库14次