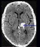
患者,59岁,有高血压病史5年,因突发头痛,右侧肢体无力1天入院,行头颅如图所示部位出血,可诊断为 ( )A、左丘脑出血B、右丘脑出血C、左颞...

作者: rantiku 人气: - 评论: 0
问题 患者,59岁,有高血压病史5年,因突发头痛,右侧肢体无力1天入院,行头颅如图所示部位出血,可诊断为 ( )
选项 A、左丘脑出血 B、右丘脑出血 C、左颞叶出血 D、左尾状核 E、左壳核出血
答案 A
解析

猜你喜欢

发表评论
更多 网友评论0 条评论)
暂无评论

访问排行

Copyright © 2012-2014 恰考网 Inc. 保留所有权利。 Powered by tikuer.com

页面耗时0.0416秒, 内存占用1.03 MB, Cache:redis,访问数据库19次