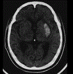
患者,68岁,有高血压病史5年,突发头痛2天入院,行头颅CT出现如图所示脑出血,该病灶最可能是下列哪条破裂引起 ( )A、脉络膜前动脉B、豆纹动脉...

作者: rantiku 人气: - 评论: 0
问题 患者,68岁,有高血压病史5年,突发头痛2天入院,行头颅CT出现如图所示脑出血,该病灶最可能是下列哪条破裂引起 ( )
选项 A、脉络膜前动脉 B、豆纹动脉 C、纹状体内侧动脉 D、大脑中动脉主干 E、丘脑穿通动脉
答案 B
解析

猜你喜欢

发表评论
更多 网友评论0 条评论)
暂无评论

访问排行

Copyright © 2012-2014 恰考网 Inc. 保留所有权利。 Powered by tikuer.com

页面耗时0.0524秒, 内存占用1.03 MB, Cache:redis,访问数据库15次