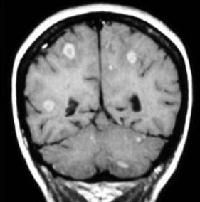
根据MRI表现,考虑为何种疾病 ( )A、海绵状脑病B、Lyme病C、脑弓形体病D、隐球菌性脑膜炎E、淋巴瘤

作者: rantiku 人气: - 评论: 0
问题 根据MRI表现,考虑为何种疾病 ( )
选项 A、海绵状脑病 B、Lyme病 C、脑弓形体病 D、隐球菌性脑膜炎 E、淋巴瘤
答案 C
解析

猜你喜欢

发表评论
更多 网友评论0 条评论)
暂无评论

访问排行

Copyright © 2012-2014 恰考网 Inc. 保留所有权利。 Powered by tikuer.com

页面耗时0.0328秒, 内存占用1.03 MB, Cache:redis,访问数据库19次