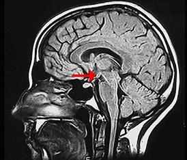
如图箭头所示为大脑哪个部位 ( )A、乳头体B、垂体C、后连合D、室间孔E、前连合

作者: rantiku 人气: - 评论: 0
问题 如图箭头所示为大脑哪个部位 ( )
选项 A、乳头体 B、垂体 C、后连合 D、室间孔 E、前连合
答案 A
解析

猜你喜欢

发表评论
更多 网友评论0 条评论)
暂无评论

访问排行

Copyright © 2012-2014 恰考网 Inc. 保留所有权利。 Powered by tikuer.com

页面耗时0.0345秒, 内存占用1.03 MB, Cache:redis,访问数据库18次