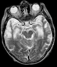
一痴呆患者有明显的人格改变和行为障碍,定向力和记忆力尚好,头颅MRI T表现如图。该患者最可能的诊断为 ( )A、血管性痴呆B、路易体痴呆C、...

作者: rantiku 人气: - 评论: 0
问题 一痴呆患者有明显的人格改变和行为障碍,定向力和记忆力尚好,头颅MRI T表现如图。该患者最可能的诊断为 ( )
选项 A、血管性痴呆 B、路易体痴呆 C、抑郁症 D、Pick病 E、Alzheimer病
答案 D
解析

猜你喜欢

发表评论
更多 网友评论0 条评论)
暂无评论

访问排行

Copyright © 2012-2014 恰考网 Inc. 保留所有权利。 Powered by tikuer.com

页面耗时0.0450秒, 内存占用1.03 MB, Cache:redis,访问数据库19次