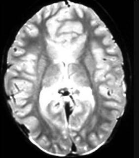
根据MRI表现,考虑是何种先天性神经系统异常的疾病是 ( )A、灰质异位症B、胼胝体发育不全C、Dandy-Walker综合征D、前脑无裂...

作者: rantiku 人气: - 评论: 0
问题 根据MRI表现,考虑是何种先天性神经系统异常的疾病是 ( )
选项 A、灰质异位症 B、胼胝体发育不全 C、Dandy-Walker综合征 D、前脑无裂畸形 E、脊柱裂
答案 D
解析

猜你喜欢

发表评论
更多 网友评论0 条评论)
暂无评论

访问排行

Copyright © 2012-2014 恰考网 Inc. 保留所有权利。 Powered by tikuer.com

页面耗时0.0383秒, 内存占用1.03 MB, Cache:redis,访问数据库18次