患者,50岁,高血压病史,反复出现TIA、腔隙性梗死,痴呆,MRI如图,下列哪项诊断可能最大 ( )A、Alzheimer病B、CJDC、路易...

作者: rantiku 人气: - 评论: 0
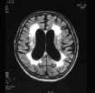
问题 患者,50岁,高血压病史,反复出现TIA、腔隙性梗死,痴呆,MRI如图,下列哪项诊断可能最大 ( )
选项 A、Alzheimer病 B、CJD C、路易体痴呆 D、Pick病 E、血管性痴呆
答案 E
解析

猜你喜欢

发表评论
更多 网友评论0 条评论)
暂无评论

访问排行

Copyright © 2012-2014 恰考网 Inc. 保留所有权利。 Powered by tikuer.com

页面耗时0.0356秒, 内存占用1.03 MB, Cache:redis,访问数据库19次