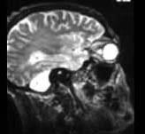
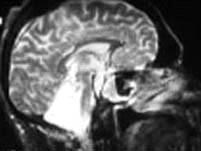
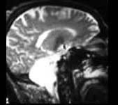
根据图示考虑是何种疾病 ( )A、小脑发育不良B、无脑畸形C、扁平颅底D、Arnold-Chiari畸形E、小脑扁桃体肿瘤

作者: rantiku 人气: - 评论: 0
问题 根据图示考虑是何种疾病 ( )
选项 A、小脑发育不良 B、无脑畸形 C、扁平颅底 D、Arnold-Chiari畸形 E、小脑扁桃体肿瘤
答案 A
解析

猜你喜欢

发表评论
更多 网友评论0 条评论)
暂无评论

访问排行

Copyright © 2012-2014 恰考网 Inc. 保留所有权利。 Powered by tikuer.com

页面耗时0.0322秒, 内存占用1.03 MB, Cache:redis,访问数据库15次