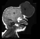
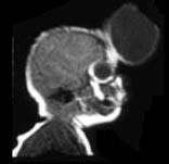
根据MRI表现,考虑何种疾病是 ( )A、大脑导水管狭窄B、脑彭出C、Arnold-Chiari畸形D、颅底凹陷症E、Dandy-...

作者: rantiku 人气: - 评论: 0
问题 根据MRI表现,考虑何种疾病是 ( )
选项 A、大脑导水管狭窄 B、脑彭出 C、Arnold-Chiari畸形 D、颅底凹陷症 E、Dandy-Walker综合征
答案 B
解析

猜你喜欢

发表评论
更多 网友评论0 条评论)
暂无评论

访问排行

Copyright © 2012-2014 恰考网 Inc. 保留所有权利。 Powered by tikuer.com

页面耗时0.0340秒, 内存占用1.03 MB, Cache:redis,访问数据库19次