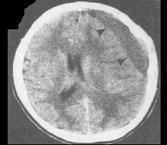
患者,70岁,一周前头部碰到墙,后出现嗜睡2天入院,行头颅CT出现如图所示病变,应诊断为 ( )A、硬膜下出血B、脑出血C、蛛网膜下隙出血...

作者: rantiku 人气: - 评论: 0
问题 患者,70岁,一周前头部碰到墙,后出现嗜睡2天入院,行头颅CT出现如图所示病变,应诊断为 ( )
选项 A、硬膜下出血 B、脑出血 C、蛛网膜下隙出血 D、脑梗死 E、硬膜外出血 一、单项选择题
答案 A
解析

猜你喜欢

发表评论
更多 网友评论0 条评论)
暂无评论

访问排行

Copyright © 2012-2014 恰考网 Inc. 保留所有权利。 Powered by tikuer.com

页面耗时0.0399秒, 内存占用1.02 MB, Cache:redis,访问数据库14次