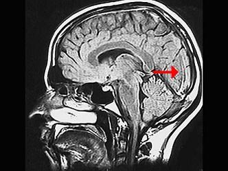
如图箭头所示为大脑哪个部位 ( )A、颞叶B、岛叶C、枕叶D、额叶E、顶叶一、单项选择题

作者: rantiku 人气: - 评论: 0
问题 如图箭头所示为大脑哪个部位 ( )
选项 A、颞叶 B、岛叶 C、枕叶 D、额叶 E、顶叶 一、单项选择题
答案 C
解析

猜你喜欢

发表评论
更多 网友评论0 条评论)
暂无评论

访问排行

Copyright © 2012-2014 恰考网 Inc. 保留所有权利。 Powered by tikuer.com

页面耗时0.0626秒, 内存占用1.03 MB, Cache:redis,访问数据库18次