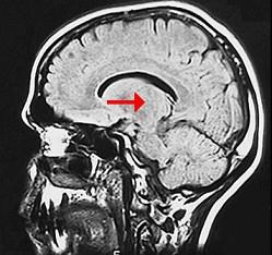
如图箭头所示为大脑哪个部位 ( )A、松果体B、中脑导水管C、豆状核D、尾状核E、丘脑一、单项选择题

作者: rantiku 人气: - 评论: 0
问题 如图箭头所示为大脑哪个部位 ( )
选项 A、松果体 B、中脑导水管 C、豆状核 D、尾状核 E、丘脑 一、单项选择题
答案 E
解析

猜你喜欢

发表评论
更多 网友评论0 条评论)
暂无评论

访问排行

Copyright © 2012-2014 恰考网 Inc. 保留所有权利。 Powered by tikuer.com

页面耗时0.0640秒, 内存占用1.03 MB, Cache:redis,访问数据库18次