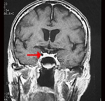
如图箭头所示为大脑哪根动脉 ( )A、基底动脉B、大脑后动脉C、颈总动脉D、大脑中动脉E、颈内动脉一、单项选择题

作者: rantiku 人气: - 评论: 0
问题 如图箭头所示为大脑哪根动脉 ( )
选项 A、基底动脉 B、大脑后动脉 C、颈总动脉 D、大脑中动脉 E、颈内动脉 一、单项选择题
答案 E
解析

猜你喜欢

发表评论
更多 网友评论0 条评论)
暂无评论

访问排行

Copyright © 2012-2014 恰考网 Inc. 保留所有权利。 Powered by tikuer.com

页面耗时0.0406秒, 内存占用1.03 MB, Cache:redis,访问数据库18次