26岁女性,既往体健,突发精神恍惚,癫痫发作。血压100/60mmHg,体温37.3℃,腰穿压力常,脑脊液无色透明,白细胞20个/mm,均为淋巴细胞,糖及...

作者: rantiku 人气: - 评论: 0
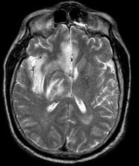
问题 26岁女性,既往体健,突发精神恍惚,癫痫发作。血压100/60mmHg,体温37.3℃,腰穿压力常,脑脊液无色透明,白细胞20个/mm,均为淋巴细胞,糖及蛋白正常。头MRI显示如图。病原体可能是 ( )
选项 A、柯萨奇病毒 B、脊髓灰质炎病毒 C、流感病毒 D、埃可病毒 E、HSV 一、单项选择题
答案 E
解析

猜你喜欢

发表评论
更多 网友评论0 条评论)
暂无评论

访问排行

Copyright © 2012-2014 恰考网 Inc. 保留所有权利。 Powered by tikuer.com

页面耗时0.0643秒, 内存占用1.03 MB, Cache:redis,访问数据库19次