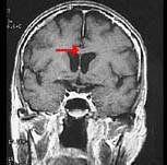
如图箭头所示为大脑哪个部位 ( )A、穹窿B、中脑导水管C、胼胝体D、透明隔E、前连合一、单项选择题

作者: rantiku 人气: - 评论: 0
问题 如图箭头所示为大脑哪个部位 ( )
选项 A、穹窿 B、中脑导水管 C、胼胝体 D、透明隔 E、前连合 一、单项选择题
答案 C
解析

猜你喜欢

发表评论
更多 网友评论0 条评论)
暂无评论

访问排行

Copyright © 2012-2014 恰考网 Inc. 保留所有权利。 Powered by tikuer.com

页面耗时0.0361秒, 内存占用1.03 MB, Cache:redis,访问数据库20次