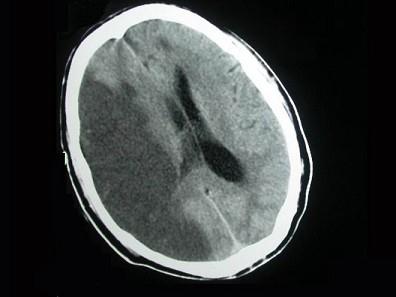
患者,80岁,有高血压病史10年,糖尿病5年,突发一侧肢体无力伴昏睡2天入院,行头颅CT出现如图所示脑梗死,该病灶最可能是下列哪条阻塞引起 ( )A、...

作者: rantiku 人气: - 评论: 0
问题 患者,80岁,有高血压病史10年,糖尿病5年,突发一侧肢体无力伴昏睡2天入院,行头颅CT出现如图所示脑梗死,该病灶最可能是下列哪条阻塞引起 ( )
选项 A、脉络膜前动脉 B、大脑中动脉深穿支 C、颈内动脉主干或大脑中动脉主干 D、大脑中动脉主干或大脑后动脉 E、大脑前动脉主干或大脑中动脉主干 一、单项选择题
答案 C
解析

猜你喜欢

发表评论
更多 网友评论0 条评论)
暂无评论
错误啦!

错误信息

  • 消息: [程序异常] : MISCONF Redis is configured to save RDB snapshots, but it's currently unable to persist to disk. Commands that may modify the data set are disabled, because this instance is configured to report errors during writes if RDB snapshotting fails (stop-writes-on-bgsave-error option). Please check the Redis logs for details about the RDB error.
  • 文件: /twcms/kongphp/cache/cache_redis.class.php
  • 位置: 第 85 行
    <?php echo 'KongPHP, Road to Jane.'; ?>