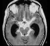
女患者,35岁,发热、头痛、呕吐3天,体重减轻,有肺结核史5年。查体颈抵抗感,克氏征(±)头颅MRI表现如图,最可能的诊断是 ( )A、结核性脑膜炎 ...

作者: rantiku 人气: - 评论: 0
问题 女患者,35岁,发热、头痛、呕吐3天,体重减轻,有肺结核史5年。查体颈抵抗感,克氏征(±)头颅MRI表现如图,最可能的诊断是 ( )
选项 A、结核性脑膜炎 B、神经系统钩端螺旋体病 C、隐球菌性脑膜炎 D、单纯疱疹病毒性脑炎 E、病毒性脑膜炎 一、单项选择题
答案 A
解析

猜你喜欢

发表评论
更多 网友评论0 条评论)
暂无评论

访问排行

Copyright © 2012-2014 恰考网 Inc. 保留所有权利。 Powered by tikuer.com

页面耗时0.0332秒, 内存占用1.03 MB, Cache:redis,访问数据库18次