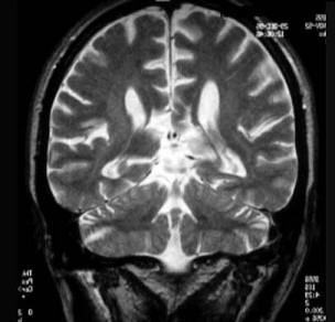
根据MRI示最可能的诊断是 ( )A、脑室内出血B、基底节钙化C、脑白质软化D、皮质萎缩或萎缩性脑叶硬化E、胼胝体发育不良一、单项选择题

作者: rantiku 人气: - 评论: 0
问题 根据MRI示最可能的诊断是 ( )
选项 A、脑室内出血 B、基底节钙化 C、脑白质软化 D、皮质萎缩或萎缩性脑叶硬化 E、胼胝体发育不良 一、单项选择题
答案 E
解析

猜你喜欢

发表评论
更多 网友评论0 条评论)
暂无评论

访问排行

Copyright © 2012-2014 恰考网 Inc. 保留所有权利。 Powered by tikuer.com

页面耗时0.0346秒, 内存占用1.03 MB, Cache:redis,访问数据库18次