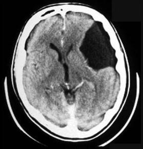
根据图示,应诊断为何种神经系统先天性疾病 ( )A、先天性脑积水B、蛛网膜囊肿C、Litter病D、无脑畸形E、颅底凹陷症一、单项选择题

作者: rantiku 人气: - 评论: 0
问题 根据图示,应诊断为何种神经系统先天性疾病 ( )
选项 A、先天性脑积水 B、蛛网膜囊肿 C、Litter病 D、无脑畸形 E、颅底凹陷症 一、单项选择题
答案 B
解析

猜你喜欢

发表评论
更多 网友评论0 条评论)
暂无评论

访问排行

Copyright © 2012-2014 恰考网 Inc. 保留所有权利。 Powered by tikuer.com

页面耗时0.0341秒, 内存占用1.03 MB, Cache:redis,访问数据库17次