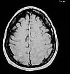
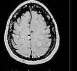
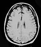
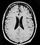
根据MRI表现,最可能的诊断是 ( )A、弓形体感染B、血吸虫感染C、真菌感染D、螺旋体感染E、肺孢子虫Carinii感染...

作者: rantiku 人气: - 评论: 0
问题 根据MRI表现,最可能的诊断是 ( )
选项 A、弓形体感染 B、血吸虫感染 C、真菌感染 D、螺旋体感染 E、肺孢子虫Carinii感染 一、单项选择题
答案 A
解析

猜你喜欢

发表评论
更多 网友评论0 条评论)
暂无评论

访问排行

Copyright © 2012-2014 恰考网 Inc. 保留所有权利。 Powered by tikuer.com

页面耗时0.0332秒, 内存占用1.03 MB, Cache:redis,访问数据库18次