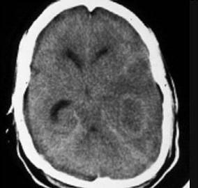
一男患者,39岁,头痛、呕吐、发热3天,脑膜刺激征(+)头颅CT表现如图,最可能的诊断是 ( )A、弓形体感染B、化脓性性脑膜炎C、真菌性脑膜...

作者: rantiku 人气: - 评论: 0
问题 一男患者,39岁,头痛、呕吐、发热3天,脑膜刺激征(+)头颅CT表现如图,最可能的诊断是 ( )
选项 A、弓形体感染 B、化脓性性脑膜炎 C、真菌性脑膜炎 D、螺旋体感染 E、结核性脑膜炎 一、单项选择题
答案 E
解析

猜你喜欢

发表评论
更多 网友评论0 条评论)
暂无评论

访问排行

Copyright © 2012-2014 恰考网 Inc. 保留所有权利。 Powered by tikuer.com

页面耗时0.0400秒, 内存占用1.03 MB, Cache:redis,访问数据库14次