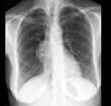
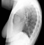
根据图象提示,重症肌无力患者做X线胸片检察的目的是 ( )A、检察是否有膈肌麻痹B、检察是否有胸腺瘤C、检察是否有异位甲状腺D、检察是...

作者: rantiku 人气: - 评论: 0
问题 根据图象提示,重症肌无力患者做X线胸片检察的目的是 ( )
选项 A、检察是否有膈肌麻痹 B、检察是否有胸腺瘤 C、检察是否有异位甲状腺 D、检察是否有肺结核 E、检察是否合并有肺部感染 一、单项选择题
答案 B
解析

猜你喜欢

发表评论
更多 网友评论0 条评论)
暂无评论
错误啦!

错误信息

  • 消息: [程序异常] : MISCONF Redis is configured to save RDB snapshots, but it's currently unable to persist to disk. Commands that may modify the data set are disabled, because this instance is configured to report errors during writes if RDB snapshotting fails (stop-writes-on-bgsave-error option). Please check the Redis logs for details about the RDB error.
  • 文件: /twcms/kongphp/cache/cache_redis.class.php
  • 位置: 第 85 行
    <?php echo 'KongPHP, Road to Jane.'; ?>