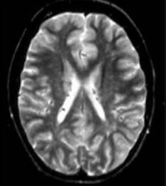
根据MRI表现考虑为 ( )A、先天性脑积水B、肝豆状核变性C、脑面血管瘤病D、神经纤维瘤病E、结节性硬化症一、单项选择题

作者: rantiku 人气: - 评论: 0
问题 根据MRI表现考虑为 ( )
选项 A、先天性脑积水 B、肝豆状核变性 C、脑面血管瘤病 D、神经纤维瘤病 E、结节性硬化症 一、单项选择题
答案 E
解析

猜你喜欢

发表评论
更多 网友评论0 条评论)
暂无评论

访问排行

Copyright © 2012-2014 恰考网 Inc. 保留所有权利。 Powered by tikuer.com

页面耗时0.0315秒, 内存占用1.03 MB, Cache:redis,访问数据库17次