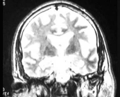
某老年男性以近事记忆障碍为早期和突出表现,余无明显不适,头颅MRI表现如图,考虑诊断为 ( )A、Alzheimer病B、CJDC、路易体痴呆...

作者: rantiku 人气: - 评论: 0
问题 某老年男性以近事记忆障碍为早期和突出表现,余无明显不适,头颅MRI表现如图,考虑诊断为 ( )
选项 A、Alzheimer病 B、CJD C、路易体痴呆 D、Pick病 E、血管性痴呆 一、单项选择题
答案 A
解析

猜你喜欢

发表评论
更多 网友评论0 条评论)
暂无评论

访问排行

Copyright © 2012-2014 恰考网 Inc. 保留所有权利。 Powered by tikuer.com

页面耗时0.0679秒, 内存占用1.03 MB, Cache:redis,访问数据库14次