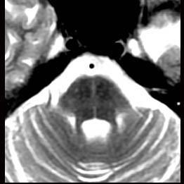
患者,男,55岁,渐起出现直立时头昏,直立性低血压2年,近半年出现眼球震颤、构音困难、步态不稳、共济失调、震颤及精神异常等症状,头颅MRI如图示,可采用的...

作者: rantiku 人气: - 评论: 0
问题 患者,男,55岁,渐起出现直立时头昏,直立性低血压2年,近半年出现眼球震颤、构音困难、步态不稳、共济失调、震颤及精神异常等症状,头颅MRI如图示,可采用的治疗方法为 ( )
选项 A、使用α受体拮抗剂盐酸米多君 B、使用钙离子拮抗剂尼莫地平等 C、床上坐起或下地时应快速 D、穿弹力紧身衣裤和弹力长袜 E、平卧时适当抬高头部 一、多项选择题
答案 ADE
解析

猜你喜欢

发表评论
更多 网友评论0 条评论)
暂无评论

访问排行

Copyright © 2012-2014 恰考网 Inc. 保留所有权利。 Powered by tikuer.com

页面耗时0.0620秒, 内存占用1.03 MB, Cache:redis,访问数据库18次