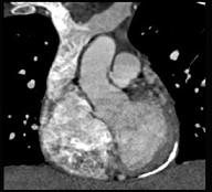
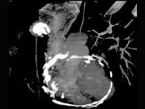
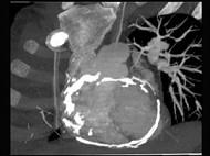
男性45岁,心悸气促乏力,下肢肿胀半年余,曾患肺结核,胸部CT扫描如图所示,请选择正确的选项为 ( )A、X线、CT为常用检查方法B、...

作者: rantiku 人气: - 评论: 0
问题 男性45岁,心悸气促乏力,下肢肿胀半年余,曾患肺结核,胸部CT扫描如图所示,请选择正确的选项为 ( )
选项 A、X线、CT为常用检查方法 B、MRI显示增厚的心包较X线、CT优越,但是对心包钙化不敏感 C、心包钙化显著时也可称之为“盔甲心” D、心包钙化多见于结核 E、考虑为缩窄性心包炎 一、多项选择题
答案 ABCDE
解析

猜你喜欢

发表评论
更多 网友评论0 条评论)
暂无评论

访问排行

Copyright © 2012-2014 恰考网 Inc. 保留所有权利。 Powered by tikuer.com

页面耗时0.0614秒, 内存占用1.03 MB, Cache:redis,访问数据库19次