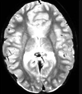
根据MRI表现,考虑是何种先天性神经系统异常的疾病是 ( )A、灰质异位症B、胼胝体发育不全C、Dandy-Walker综合征D、前脑无裂...

作者: rantiku 人气: - 评论: 0
问题 根据MRI表现,考虑是何种先天性神经系统异常的疾病是 ( )
选项 A、灰质异位症 B、胼胝体发育不全 C、Dandy-Walker综合征 D、前脑无裂畸形 E、脊柱裂 单选题
答案 D
解析

猜你喜欢

发表评论
更多 网友评论0 条评论)
暂无评论
错误啦!

错误信息

  • 消息: [程序异常] : MISCONF Redis is configured to save RDB snapshots, but it's currently unable to persist to disk. Commands that may modify the data set are disabled, because this instance is configured to report errors during writes if RDB snapshotting fails (stop-writes-on-bgsave-error option). Please check the Redis logs for details about the RDB error.
  • 文件: /twcms/kongphp/cache/cache_redis.class.php
  • 位置: 第 85 行
    <?php echo 'KongPHP, Road to Jane.'; ?>