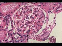
显微镜下如箭头所示,IgA主要沉积在系膜区,免疫荧光见阳性的IgA在系膜区颗粒状沉积。其可诊断为 ( )A、局灶性肾炎B、膜增生性肾小球性...

作者: rantiku 人气: - 评论: 0
问题 显微镜下如箭头所示,IgA主要沉积在系膜区,免疫荧光见阳性的IgA在系膜区颗粒状沉积。其可诊断为 ( )
选项 A、局灶性肾炎 B、膜增生性肾小球性肾炎 C、IgA肾病(Berger’s病) D、膜性肾病 E、局灶性节段性硬化 单选题
答案 C
解析

猜你喜欢

发表评论
更多 网友评论0 条评论)
暂无评论
错误啦!

错误信息

  • 消息: [程序异常] : MISCONF Redis is configured to save RDB snapshots, but it's currently unable to persist to disk. Commands that may modify the data set are disabled, because this instance is configured to report errors during writes if RDB snapshotting fails (stop-writes-on-bgsave-error option). Please check the Redis logs for details about the RDB error.
  • 文件: /twcms/kongphp/cache/cache_redis.class.php
  • 位置: 第 85 行
    <?php echo 'KongPHP, Road to Jane.'; ?>